学生时代,最绕不过去的事情就是考试:期中考、期末考、月考、周考……大大小小的考试把时间分成了竹节,一段一段的。
不过对于一些人来说,考试除了“精神攻击”,还有“生理攻击”。不知道为什么,开考铃还没响,自己肚子先响了,本来就因为临时抱佛脚紧张,肚子一疼汗珠直接下来。

死去的回忆开始攻击我
图源:电影《留级之王》
后来不用考试了,拉肚子却依然是生活中的魔咒。要出门玩的时候,拿好行李跨出家门第一步,总是被熟悉的感觉拉住身体……我是有什么毛病嘛?拉肚子能不能放过我!
考试到底让我的肠子怎么了?

不过一位伟大的哲学家总结过:“偶然当中存在着必然。”这种一遇到应激状况就会出现明显胃肠道反应的表现,很可能是一种十分普遍的疾病——肠易激综合征(以下简称IBS)。

IBS的具体病因暂无定论,目前认为是多因素造成的结果。这些因素包括胃肠动力异常、内脏高敏感性、脑-肠作用、肠道感染、肠道菌群失调等等。
不过既然容易在压力下发作,精神因素就不可不作为一个研究的重点:经历过性暴力或家庭暴力的女性,拥有一个不太幸福的童年,或是天生对情绪十分敏感,都会通过大脑和消化道之间的“脑-肠轴”来影响肠道功能。

脑-肠轴能够互相影响对方的功能,“想拉就拉”
图源:网络
好在这些变化并不会引起肠道在实际的组织结构上发生变化,而是仅仅使得其功能发生异常。不过缺乏直接且客观的病理证据,也成了这类疾病难以下达确切诊断的原因之一。目前临床诊断一般用Rome标准,将症状发作的持续时间和频率作为诊断依据,这也就需要患者就诊时,能够准确告知医师自己的身体变化。
前面提到胃肠动力异常是IBS的病因之一,其实动力性异常腹泻本身就很常见,甚至喝咖啡拉肚子、着凉拉肚子都属于它。

对一些人来说冰咖啡属于是叠buff了
有些打工人的一天用咖啡续命,但喝了又窜,于是促进代谢也成了诸多咖啡品牌一大关于健康的卖点。
这种效应是来自于咖啡因,它可以作用于消化系统,促进胃酸分泌和消化道平滑肌蠕动,从而加速排泄。这种由于外界因素刺激,增强胃肠道活动造成的腹泻就被称为动力性异常腹泻。

带薪拉屎时是最怕的是____
图源:短片《公司如厕记》
有点事就拉稀一定是IBS吗?

IBS最重要的症状是腹痛,它和拉肚子一起提醒我们,自己的胃肠道功能出现了变化。当然,实际生活中还有很多情况可以拉肚子。
例如大家最熟悉的喝牛奶拉肚子,就是传说中的乳糖不耐受,但是种渗透性腹泻。体内缺乏乳糖酶而无法分解牛奶中的乳糖,导致肠道内渗透压升高,水分进入了肠道,从而引起的拉肚子。临床上一类常用的通便药物——乳果糖就是由这个原理生产的。

左为乳糖酶正常的肠道,右为乳糖酶缺乏的肠道
左侧肠道中,乳糖被乳糖酶水解为半乳糖和葡萄糖
而在右侧肠道中,乳糖使水分进入肠道,引起腹泻
但由于IBS患者的肠道功能本身就十分脆弱,喝牛奶也许对于这些人来说会加重他们的病情。
又如吃了小说或电视剧里的常客巴豆,其中的巴豆碱可以促进肠道分泌,肠道中水和电解质的分泌不断增加,同样也会导致腹泻,这种腹泻称为分泌性腹泻。烈性传染病霍乱的元凶——霍乱弧菌就是释放毒素作用于肠绒毛上的离子通道或载体蛋白,使细胞过度分泌,导致了严重的腹泻,进而危及生命。

别想着拿巴豆减肥,真有危险
当然,最常见的原因还是吃坏了东西造成的肠道感染,在夏季和热带地区最为常见。不过对于机制的分类其实意义不大,因为腹泻的发生常常是多因素共同作用的,例如细菌感染之后会破坏肠粘膜引起体液渗出,而这种炎症又会进一步引起消化不良、动力紊乱。

有些东西看了就想窜还可能是无形的精神压力呢
窜出什么样的稀还有讲究?

终于有你想看的东西了是吗,不过要说的是有科研价值的便便不是有下饭价值的。
查体时大夫问二便情况,是因为不同病因产生的腹泻特点也不同。例如胃肠道动力异常引起的腹泻,大便不成形,且由于刺激了肠道,有可能会伴随或轻或重的腹痛,用听诊器听诊也许还会听见肠鸣音。
观察大便性状也有助于大夫判断感染人体的病原体:霍乱时,由于过度分泌水盐电解质,大便呈米泔水样;阿米巴原虫感染时,大便中带有一些坏死组织,呈现果酱色,同样的原因,痢疾时会排出脓血样便;伤寒时,则可能出现水样便等等。

霍乱杆菌导致的米泔水样便
当然,观察大便的形状也只是便检的第一步,正常的大便里通常只有消化或未消化的食物、正常情况下肠道寄生的微生物。进一步通过隐血试验可以判断是否伴随肠道出血,通过苏丹III染色可以查是否有脂肪,而通过粪便培养则可以进一步推断出肠道感染的元凶。
不过这种诊断仅限于会导致腹泻的病菌,如大家熟知的幽门螺杆菌,由于它主要感染的是胃部,通常不会引起腹泻,就不能靠化验大便找到他了。

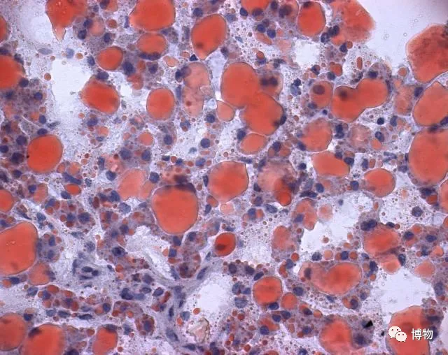
这美丽的颜色来自苏丹III染色,脂肪呈现橘红色
当然这是一张组织切片而非粪便涂片
这些情况真的需要尽早就医

虽然拉肚子严格来说并不算是一种疾病,应当属于诊断学中症状的概念,是一种表现。医学上认为一个人腹泻有三个特点:排泄次数增多、排便量增多、粪便含水量增加。但关键时刻总拉肚子确实影响生活,有时还是需要就医。
细心的你应该已经注意到,那些在更严重的疾病中出现的大便,和我们平时窜出来的货,根!本!不!一!样!所以说站起来看看自己拉了什么货还是很有必要的。例如有的人会拉又臭又稀还发黄的脂肪泻,有可能是慢性胰腺炎;便中带血有可能是更严重一些的炎症性肠病。

所以说写字不描拉屎不瞧这句话我遵循一半
而最让人生气的“掉链子”选手IBS,也不用过于担心。它并非器质性病变,一般不会影响全身情况,且焦虑本身就是促IBS发生的重要因素,所以不要有太多顾虑。
很多疾病都会表现为胃肠道功能的改变,如果你还同时还出现了体重下降、便血、贫血、低热,或在夜间睡梦中出现症状,或持续性出现症状,或家族有结直肠癌病史等,一定要引起重视,及时就医。

冬天总拉肚子?多喝热水👇🏻

撰文 | 萧旭
部分图片 | 图虫创意
微信编辑 | 赵之遇